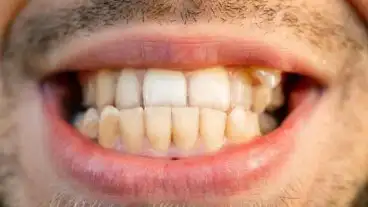
LA VOZ DE GOICOECHEA (Por Vanesa Buffa).- En condiciones normales, los dientes superiores se posicionan por delante de los inferiores al morder. Si las piezas dentarias se ubican al revés, entonces aparecerán problemas.
La mordida cruzada es una condición que altera la relación natural entre los dientes de arriba y los de abajo. Esta discrepancia dental también se conoce como mordida invertida, ya que la mandíbula se posiciona por fuera del maxilar superior.
Morder al revés no solo impacta en las funciones orales, como masticar y hablar, sino que también afecta la estética facial. Sin embargo, existen diversos tratamientos odontológicos que pueden corregir el problema.
¿Cómo es la mordida cruzada?

En la oclusión normal, los dientes superiores no se ubican en ningún punto por detrás de los inferiores.
La mordida cruzada es un tipo de maloclusión dental. Los dientes superiores e inferiores no se alinean de manera correcta al cerrar la boca.
En condiciones normales, las piezas de arriba se deben colocar ligeramente por fuera de las de abajo al ocluir. Al contrario, en una mordida cruzada, esta disposición se invierte y algunos dientes superiores quedan por dentro de los inferiores al cerrar la boca.
La Asociación Americana de Ortodoncistas señala que esta anomalía puede afectar a uno o varios dientes, del sector anterior o posterior de la boca, en uno o en ambos lados de la mandíbula. Además, esta manera de morder puede asociarse a otras alteraciones de los huesos maxilares, como las siguientes:
- Paladar estrecho, ojival y profundo.
- Mandíbula muy grande y adelantada.

En la mordida cruzada se pierde la relación normal y algunos dientes superiores se colocan por detrás de los inferiores al cerrar la boca.
Tipos de mordida cruzada
La mordida invertida se puede presentar de manera diferente en cada persona. Según el área de la boca afectada, se distinguen los siguientes tipos:
Anterior: la afección se concentra en la parte frontal de la boca, sobre los incisivos y los caninos.
Posterior: afecta a los dientes posteriores de la boca, es decir, los molares y los premolares.
Unilateral: la maloclusión se produce de un solo lado de la boca, ya sea el izquierdo o el derecho. En esta situación, es común que la desviación provoque asimetrías en el rostro y problemas en la articulación temporomandibular (ATM).
Bilateral: el trastorno se produce en ambos lados de la mandíbula.
Además de lo anterior, la mordida cruzada también puede clasificarse según su origen:
- Esquelética: surge por defectos en el crecimiento de los huesos. Puede suceder que el maxilar superior no se haya desarrollado lo suficiente o que el inferior sea muy grande.
- Dentaria: se debe al posicionamiento incorrecto de los dientes.
- Mixta: se combinan los dos casos anteriores. Existe una falla en el crecimiento óseo y, además, los elementos dentarios se posicionan de manera incorrecta.
La mordida cruzada puede producirse por diversas causas, tanto genéticas como ambientales. Se considera una afección multifactorial, ya que puede surgir de la combinación de diferentes situaciones.
Factores genéticos
La herencia juega un papel crucial en el desarrollo de las estructuras bucales. La forma, el tamaño y la disposición de huesos y dientes depende, en gran medida, de la genética.
Es así que es bastante común observar la repetición de la mordida cruzada en varios miembros de una misma familia. Algunas causas genéticas subyacentes, como maxilares muy estrechos, labio o paladar hendido, dientes apiñados, con formas anormales o de más, son condiciones heredadas que también pueden desencadenar el trastorno.
Causas ambientales
Además de los factores genéticos, existen circunstancias ambientales que influyen en la manera en que crecen los huesos y erupcionan y se posicionan los dientes. Las siguientes situaciones externas pueden contribuir al desarrollo de la mordida cruzada:
- Respiración oral.
- Deglución atípica.
- Traumatismos en la boca.
- Hábito de chuparse el dedo.
- Pérdida o ausencia de dientes.
- Dientes torcidos o malposicionados.
- Uso prolongado del chupete o biberón.
- Falta de espacio entre los dientes de leche.
- Pérdida prematura o muy retrasada de los dientes de leche.
- Restauraciones, coronas o aparatos dentales que no adaptan de manera adecuada.
- Problemas funcionales, como una postura inadecuada de la mandíbula a la hora de morder.
- Síntomas de la mordida cruzada
Sin embargo, más allá de las repercusiones estéticas, padecer esta maloclusión afecta tanto las funciones orales como la salud bucal en general. Los síntomas más relevantes son los siguientes:
- Desgaste de los dientes.
- Alteraciones en la ATM.
- Problemas para morder y masticar.
- Mayor riesgo de sufrir caries y gingivitis.
- Dificultad para pronunciar algunos fonemas.
- Dolor de dientes, maxilares, hombros, cuello o cabeza.
Tratamientos para la mordida cruzada
El ortodoncista es el profesional capacitado para diagnosticar y planificar el tratamiento de la mordida cruzada. Su enfoque terapéutico variará según diversos factores, siendo la edad del paciente uno de los más importantes.
¿Cuándo es el mejor momento para tratar la mordida invertida?
El tratamiento es más efectivo cuando se aborda durante la infancia, aprovechando el período de desarrollo de los huesos y la erupción dental. Durante esta etapa, es posible guiar el crecimiento y la posición de las estructuras orales en un abordaje más simple, breve y exitoso.
Los expertos recomiendan corregir la mordida cruzada anterior y posterior de manera temprana, durante la primera etapa de la dentición mixta, cuando comienzan a cambiarse los dientes de leche. Este momento óptimo permite corregir la oclusión de los molares e incisivos permanentes, así como abordar deficiencias maxilares, paladares estrechos y desplazamientos mandibulares.
Se aconseja que los niños visiten al ortodoncista a partir de los 6 años. Durante la consulta, el especialista puede identificar cualquier problema de oclusión y tomar medidas tempranas para corregirlo antes de que avance y se agrave.
Sin embargo, aunque el tratamiento es más fácil y efectivo en la infancia, no es la única opción disponible. También existen alternativas para corregirla en adolescentes y adultos, aunque los procedimientos son más complejos y llevan más tiempo.
Tratamiento en niños
El tratamiento de la mordida cruzada durante la infancia se realiza a través de la ortodoncia interceptiva. Este enfoque terapéutico aprovecha la etapa de crecimiento óseo del niño y busca corregir la maloclusión con aparatos especiales que guían el desarrollo de las bases óseas maxilares y mandibulares.
El ortodoncista puede recurrir a diferentes tipos de dispositivos para expandir el maxilar superior, ensanchar el paladar o movilizar los dientes. Además, si el caso lo amerita, los aparatos se utilizan también para tratar hábitos orales disfuncionales que afectan el desarrollo de las estructuras de la boca.
Expansores, tirantes, aparatos removibles, miofuncionales y alineadores transparentes son algunos ejemplos de los dispositivos que el ortodoncista puede usar y combinar para corregir la mordida cruzada en los niños.
Una vez que el niño deja de crecer y se ha logrado una relación adecuada entre ambos maxilares, puede ser necesario complementar el tratamiento con ortodoncia correctiva. Estos aparatos ayudan a alinear los dientes de manera precisa y mejorar los resultados obtenidos.
Tratamiento de la mordida invertida en adultos
Cuando el diagnóstico se realiza en la adultez, el tratamiento puede ser más complejo, debido a que el crecimiento facial ya finalizó. El problema puede tener diferentes grados de severidad y el abordaje dependerá de la gravedad del caso.
Si la mordida cruzada tiene un origen dentario, se suele recurrir a la ortodoncia correctiva. A través de aparatos fijos con brackets, arcos y alambres, o con alineadores invisibles, se generan fuerzas capaces de movilizar los dientes hasta lograr una adecuada relación entre las piezas superiores e inferiores.
En cambio, cuando las discrepancias son muy severas, es necesario recurrir a la cirugía ortognática. Este procedimiento quirúrgico modifica el tamaño y la posición de los maxilares, logrando una adecuada relación entre las estructuras de la boca y la cara.
En general, antes y después de realizar la operación, la terapéutica se complementa con ortodoncia correctiva para alinear los dientes y conseguir una mordida armónica. Por esta razón, todo el proceso puede durar varios años.
Además de estas opciones, el tratamiento de la mordida invertida en adultos puede requerir otras prácticas complementarias, como las siguientes:
- Expansores óseos.
- Reconstrucción o remodelado de los dientes.
- Extracción de dientes para resolver problemas de espacio.
La mordida cruzada puede impactar tanto en la estética como en la funcionalidad y la salud de la boca. Sin embargo, el problema es tratable en cualquier etapa de la vida. Los abordajes variarán en complejidad y en tiempo de duración.
Lo importante es buscar ayuda profesional lo antes posible para evitar que la maloclusión empeore. No importa tu edad. Consulta a tu ortodoncista para obtener un diagnóstico preciso y planificar el tratamiento más adecuado para ti.
*
Los comentarios expresados en las secciones de opinión, reclamos del pueblo, campos pagados, negociemos, en la opinión de los lectores y comentarios de terceros al final de las notas o en las páginas de redes sociales, son responsabilidad exclusiva de sus autores.
La Voz de Goicoechea (www.lavozdegoicoechea.info) es un medio de comunicación independiente, y no toma como suyas dichas opiniones por lo que no se responsabiliza por el contenido emitido por terceros. Todas las imágenes que muestra este medio, se utilizan solo con fines ilustrativos, por tanto se respetan todos los derechos de autor según corresponda en cada caso, siendo nuestra principal labor de la informar a nuestros lectores.
nos interesa tú opinión al respecto. Te invitamos a participar...
Pueden escríbenos también a nuestro correo electrónico
2017 © 2024
Miembro de la Red de Medios Alternativos Independientes - REDMAI
Producciones Periodísticas y Publicitarias Montezuma
Goicoechea, San José - Costa Rica



0 Comentarios
Queremos ver tus comentarios, estos nos enriquecen y ayudan a mejorar nuestras publicaciones :
_______________________________________________